The Brazilian Journal of Case Reports (BJCR) (ISSN 2763-583X) is an international and open access journal that operates with a continuous editorial and publication flow. Adopting a rigorous double-blind peer review process, the BJCR is committed to publishing high-quality, original contributions that are of significant interest to researchers in both human and animal health. Launched in 2021, the BJCR focuses on disseminating clinical studies that present rare and noteworthy findings which contribute to advancing medical knowledge. Our aim is to provide a platform for the documentation and discussion of unusual and significant clinical cases, offering valuable insights and fostering the development of new diagnostic and therapeutic approaches.

The journal welcomes submissions that detail clinical experiences, innovative case series, and critical analyses that highlight unique medical phenomena, novel treatment methods, and complex patient scenarios. By maintaining a diverse and interdisciplinary scope, the BJCR seeks to bridge gaps between various fields of medicine and veterinary science, encouraging a holistic understanding of health and disease. The BJCR is dedicated to ensuring accessibility and visibility of its publications through open access, thereby facilitating the global exchange of knowledge and supporting the scientific community in making impactful advancements in medical research.

The Journal features the following sections (all topics may related with human or animal studies):

  • Clinical Case Reports;
  • Clinical Imagens Reports;
  • Letter to editor (Correspondence or Comments).
Time to first decision: Two weeks.
 
Language: English is the official language of BJCR. However, we will also receive articles in Portuguese.
 
Aims and Scope

BJCR will consider any original case report that expands the field of general medical knowledge about human and/or veterinary sciences, and original review studies relating to clinical case reports.

All articles in the BJCR may follow one of the following topics, but not necessarily (all topics may related with human or animal studies):

  • Rare clinical findings;
  • Clinical images (ie. X-ray, CT scans, MRIs, and ultrasound);
  • Clinical Laboratory findings (ie. blood analysis, and histopathology);
  • Pathology diagnosis;
  • Surgery procedures

Article Processing Charges

All articles published in BJCR are open access and freely available online, immediately upon publication. APC is essential to cover the costs of all journal publishing functions. The APC for BJCR is USD120,00, for foreign authors, or R$500,00 for Brazillian authors. There are no charges for Letter to editor, submission or rejected articles, and no surcharges based on the article composition (ie. color figures or number of pages).

Scientific Mission

Our mission is the publication and digital visibility of national and international scientific research in the health area, with a focus on open access publications, which seek to disseminate the results of relevant scientific studies, peer-reviewed by a qualified editorial board, valuing quality, impact and its scientific and social relevance.

If you have any questions, please do not hesitate to contact us at bjcasereports@gmail.com or by Whatsapp (+558599186-4030).

Vol. 6 No. 1 (2026): January/December - 2026

This cover page represents the article titled "Clinical Case Reports as a Tool for Advancing Personalized Medicine: Is this Real?" which examines the essential role of detailed clinical documentation in shaping individualized healthcare. The article emphasizes how thorough descriptions of rare diseases, atypical presentations, and unique therapeutic responses can reveal critical insights into patient-specific prognoses and treatment strategies. It highlights the historical significance of case reports in driving medical discoveries and their continued relevance in the precision medicine era, where variability between patients is not a limitation but a source of innovation. The discussion addresses the value of integrating genetic, molecular, and lifestyle data into clinical narratives, the ethical considerations in publishing highly detailed patient information, and the importance of maintaining rigorous reporting standards such as the CARE guidelines. Additionally, the article explores future opportunities to link case reports with large-scale biomedical databases and artificial intelligence tools to accelerate the identification of personalized care strategies. The Brazilian Journal of Case Reports reaffirms its commitment to publishing high-quality, detailed case studies that advance the understanding of patient individuality in medicine and invites contributions that exemplify the transformative potential of personalized clinical narratives.

Published: 2026-01-01

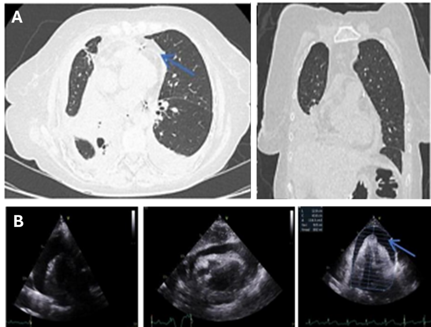
Surgical Management of Left Anterior Descending Coronary Artery Aneurysm with Fistula: A Rare Case Report from Suriname

Rosita Bihariesingh-Sanchit, Pieter Voigt, Santosh Gangaram Panday, Prithvi Lachman, Zorana Jagernath

bjcr109

Medial Patellofemoral Ligament Reconstruction Using a Peroneus Longus Tendon Graft Case Report

José Victor Santos Capalbo, Felipe Fuzita Karakanian, Diego Escudeiro de Oliveira, David Bonini Vieira Campanha, Marcos Vaz de Lima, Lorena Morais Miranda, Pedro Baches Jorge

bjcr110

Giant Cell Arteritis Presenting as Ischemic Stroke: A Case Report

Ana Isabel Bento Ferreira Leite, Gonçalo Mesquita, Andreia Mandim, Luis Veiga, Raquel Oliveira, Anita Campos

bjcr111

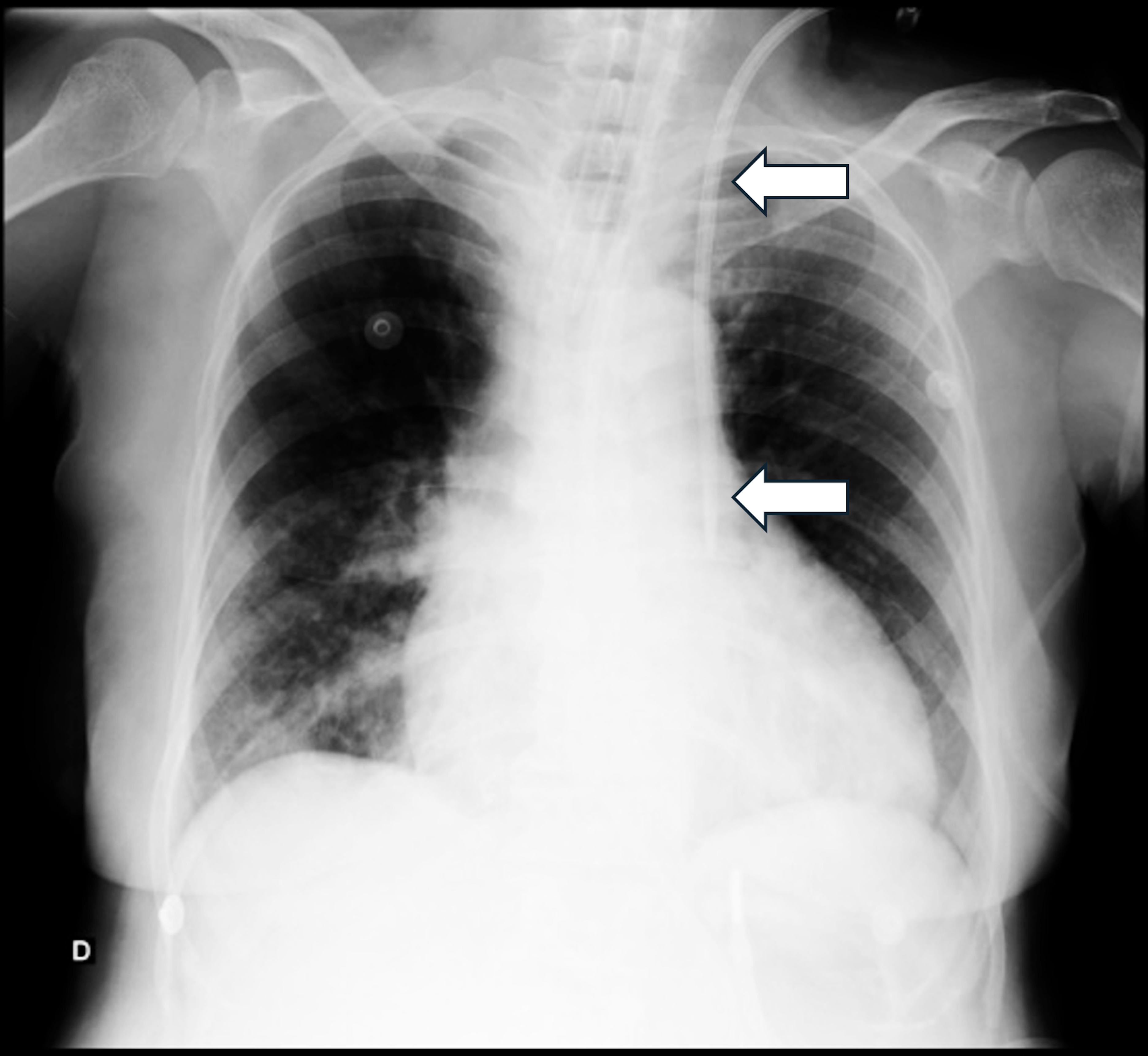
Right Aortic Arch and Arterial Flow Steal: Case Report

Luciana Yukie Nakagawa, Ana Caroline de Mélo Viana, Maria de Fatima de Lira Silva, Adriene Gonçalves Mota, Renan de Lima Rocha, Marcelo Calil Burihan, Renata Nunes da Silva

bjcr113

Total Thyroidectomy Without Sternotomy for a Massive Retrosternal Goiter with Simultaneous Occurrence of Two Thyroid Carcinomas: Outcomes and Surgical Approach

Rana Alkhelaif , Ebtesam Almajed, Raghad Zohier Ghulam , Ghadah Abdulrahman Algabr, Saud Alrasheedi, Abdulrahman Alzahrani, Adel Alqahtani

bjcr114

Mediastinal Mass: A Diagnostic Odyssey from Iron Deficiency Anaemia to Thymoma

Ana Isabel Bento Ferreira Leite, Gonçalo Mesquita, Andreia Mandim, Luis Veiga, Raquel Oliveira, Filipa Novo, Anita Campos

bjcr115

Non-Hodgkin’s Lymphoma of the Breast: An Unusual Case Report

Andreia Mandim, Maria Eduarda Couto, Raquel Oliveira, Raquel Santos

bjcr116

Effective Multimodal Therapy for Chemically Aggravated Androgenetic Alopecia: A Case Report using PRP and Mesotherapy

Poliana Laís Zanetti Andrade, Fernanda Roberta Casagrande Tomachevski, Aureanna Nairne Negrão Murakami, Andre Gaspar Zinco, Fábio Seigi Murakami

bjcr117

Chronic Ulcer in Traumatic Lymphedema with Difficult Resolution: Treatment and Review

José Maria Pereira de Godoy, Livia Maria Pereira de Godoy, Henrique José Pereira de Godoy

bjcr118

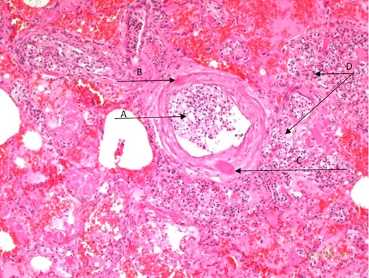
Pulmonary Lymphangitic Carcinomatosis of Small Cell Lung Carcinoma: An Autopsy Case Report

Ronniel Morais Albuquerque, Gabriela Naccarati de Mello, Maria Clara Nascimento Lopes, Murilo Lima Gomes, Amaro Nunes Duarte Neto

bjcr119

Perilunate Carpal Dislocation: A Case Report

Carlos Eduardo Seganfredo Camargo, Luigi Dal Pizzol Coberllini, Matheus Guanabara Fernandes, Rafael Oselame Guanabara

bjcr120

Case Report of Subclavian Artery Injury After Reduction of Right Shoulder Dislocation

Mariana Ferreira Borges Firmo Rodrigues, Emanuel Firmo Rodrigues, Nathalia Andreazza, Lívia Coelho Alves, Pedro Natel Kugler Mendes

bjcr121

High Spinal Anesthesia in a Patient Recently Submitted to an Epidural Blood Patch: A Case Report

Marcos Victor Silveira Crisanto, Katharina Lanza Japolini, Camila Gomes Dall'Aqua, Marina Ayres Delgado

bjcr122

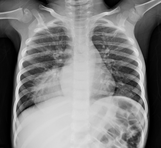
Chronic Pneumocystosis: Differential Diagnosis of Pulmonary Cystic Lesions

Cinthya Martins de Loiola Costa, George Cavalcante Dantas, Fabrício André Martins da Costa, Aline Lobo Ramos

bjcr123

Anaplastic Large Cell Lymphoma, ALK-Negative: A Rare Case with Histopathological and Immunohistochemical Features

Bilal Ramez Bakri, Camila Machado Baldavira, William Marques Pirani, Alexandre Ab’Saber, Vera Luiza Capelozzi

bjcr124

Multisystemic Adverse Reactions to Amlodipine Mimicking Vasculitis

Sudipto Chakraborty, Debroop Sengupta, Mohidur Rahaman, Pradip Dey, Saibal Moitra, Dhiman Sen

bjcr127

Physiotherapy Management Following Surgical Neurolysis for a Peroneal Nerve Injury: A Case Report

Pedro Sérgio Costa da Silva Almeida, Ana Maria Conceição Tomé, João Carlos Martins Felício, Ana Paula de Almeida Fontes

bjcr128

Periapical Actinomycosis of the Mandible in Diabetic Patient: Comprehensive Case Report and Literature Review

Camila Lopes Rocha, Fawaz Alotaibi, David Kim, Laura Earnest, Emily Neeley, João Octávio Pompeu Hyppolito

bjcr129

Monophasic Paravertebral Lumbar Synovial Sarcoma in an Adult Patient: Case Report

Bruno Amaral Santos, Beatriz Segatto de Oliveira, Paulo Eduardo Hernandes Antunes, João Guilherme Carvalho de Oliveira Santos, Eloy Theodoro José do Prado, Felipe Hammoud de Menezes, Ellen Diniz de Menezes

bjcr131

Spontaneous Cholecystocutaneous Fistula: A Case Report

Pâmela de Oliveira Gonçalves Rodrigues, Gustavo Ianzer Moraes, João Pedro Valladao de Paula, Amanda Araújo Brasil Duarte, Isadora Mylius, Filipe Gianecchini Rodrigues

bjcr132

Radioiodine Treatment and The Development of Pretibial Myxedema: A Series of Three Cases

Nicolas Perini, Camila Guidi Rossi, Gabriela Salles Martinez, Yedda Carolina Della Torre Rojas, Roberto Bernardo Santos, João Hamilton Romaldini, Danilo Villagelin

bjcr133

Oral Lesions as the First Clinical Sign of Multifocal Paracoccidioidomycosis: A Case Report

Paulo Sérgio Pina, Antônio Roberto Garcia Júnior, Rafael Antônio Souza da Silva, Wallena Albuquerque da Cunha, Décio Santos Pinto Júnior, Celso Augusto Lemos Júnior, Camilla Vieira Esteves

bjcr136

Endovascular Repair of Brachiocephalic Pseudoaneurysm

Eliana Suárez, Viviana Griego, Alejandro Russo, Santiago González

bjcr138

View All Issues

Edited by:

 

Registered in:       

 

Indexed in:                                                                    

 

Cited by:   

 

Follow us on Instagram:

Contact us: