Esta capa apresenta o artigo intitulado "Relatos de Caso como Ferramenta para o Avanço da Medicina Personalizada", que examina o papel essencial da documentação clínica detalhada na construção de um cuidado individualizado em saúde. O artigo enfatiza como descrições minuciosas de doenças raras, apresentações atípicas e respostas terapêuticas únicas podem revelar informações críticas sobre prognóstico e estratégias de tratamento específicas para cada paciente. Destaca a importância histórica dos relatos de caso nas descobertas médicas e sua relevância contínua na era da medicina de precisão, em que a variabilidade entre pacientes não é uma limitação, mas uma fonte de inovação. A discussão aborda o valor de integrar dados genéticos, moleculares e de estilo de vida às narrativas clínicas, as considerações éticas ao publicar informações detalhadas de pacientes e a importância de manter padrões rigorosos de relato, como as diretrizes CARE. Além disso, o artigo explora oportunidades futuras de integração dos relatos de caso a grandes bases de dados biomédicos e ferramentas de inteligência artificial, acelerando a identificação de estratégias personalizadas de cuidado. A Brazilian Journal of Case Reports reafirma seu compromisso em publicar estudos de caso de alta qualidade e detalhamento, que ampliem a compreensão da individualidade do paciente na medicina, e convida autores a contribuírem com narrativas clínicas transformadoras.

Publicado: 2026-01-01

Manejo Cirúrgico de Aneurisma da Artéria Coronária Descendente Anterior com Fístula: Um Raro Relato de Caso do Suriname

Rosita Bihariesingh-Sanchit, Pieter Voigt, Santosh Gangaram Panday, Prithvi Lachman, Zorana Jagernath

bjcr109

Reconstrução do Ligamento Patelofemoral Medial com Enxerto do Tendão Fibular Longo: Relato de Caso

José Victor Santos Capalbo, Felipe Fuzita Karakanian, Diego Escudeiro de Oliveira, David Bonini Vieira Campanha, Marcos Vaz de Lima, Lorena Morais Miranda, Pedro Baches Jorge

bjcr110

Arterite de Células Gigantes Apresentando-se como Acidente Vascular Isquêmico: Relato de Caso

Ana Isabel Bento Ferreira Leite, Gonçalo Mesquita, Andreia Mandim, Luis Veiga, Raquel Oliveira, Anita Campos

bjcr111

Arco da Aorta à Direita e Roubo de Fluxo Arterial: Relato de Caso

Luciana Yukie Nakagawa, Ana Caroline de Mélo Viana, Maria de Fatima de Lira Silva, Adriene Gonçalves Mota, Renan de Lima Rocha, Marcelo Calil Burihan, Renata Nunes da Silva

bjcr113

Tireoidectomia Total Sem Esternotomia para um Gigante Bócio Retrosternal com Ocorrência Simultânea de Dois Carcinomas de Tireoide: Resultados e Abordagem Cirúrgica

Rana Alkhelaif , Ebtesam Almajed, Raghad Ghulam , Ghadah Abdulrahman Algabr, Saud Alrasheedi, Abdulrahman Alzahrani, Adel Alqahtani

bjcr114

Massa Mediastinal: Uma Odisseia Diagnóstica da Anemia por Deficiência de Ferro ao Timoma

Ana Isabel Bento Ferreira Leite, Gonçalo Mesquita, Andreia Mandim, Luis Veiga, Raquel Oliveira, Filipa Novo, Anita Campos

bjcr115

Linfoma Não-Hodgkin da Mama: Um Relato de Caso Incomum

Andreia Mandim, Maria Eduarda Couto, Raquel Oliveira, Raquel Santos

bjcr116

Terapia Multimodal Eficaz para Alopecia Androgené-tica Agravada Quimicamente: Relato de Caso utilizando PRP e Mesoterapia

Poliana Laís Zanetti Andrade, Fernanda Roberta Casagrande Tomachevski, Aureanna Nairne Negrão Murakami, Andre Gaspar Zinco, Fábio Seigi Murakami

bjcr117

Úlcera Crônica em Linfedema Traumático de Difícil Resolução: Trata-mento e Revisão

José Maria Pereira de Godoy, Livia Maria Pereira de Godoy, Henrique José Pereira de Godoy

bjcr118

Carcinomatose Linfangítica Pulmonar de Carcinoma de Pulmão de Pequenas Células: Relato de Caso de Autópsia

Ronniel Morais Albuquerque, Gabriela Naccarati de Mello, Maria Clara Nascimento Lopes, Murilo Lima Gomes, Amaro Nunes Duarte Neto

bjcr119

Luxação Perilunar do Carpo: Relato de Caso

Carlos Eduardo Seganfredo Camargo, Luigi Dal Pizzol Coberllini, Matheus Guanabara Fernandes, Rafael Oselame Guanabara

bjcr120

Relato de Caso de Lesão de Artéria Subclávia Pós Re-dução de Luxação de Ombro Direito

Mariana Ferreira Borges Firmo Rodrigues, Emanuel Firmo Rodrigues, Nathalia Andreazza, Lívia Coelho Alves, Pedro Natel Kugler Mendes

bjcr121

Anestesia Raquidiana Alta em Paciente Submetida Recentemente a um Blood Patch Peridural: Relato de Caso

Marcos Victor Silveira Crisanto, Katharina Lanza Japolini, Camila Gomes Dall'Aqua, Marina Ayres Delgado

bjcr122

Pneumocistose Crônica: Diagnóstico Diferencial de Lesões Císticas Pulmonares

Cinthya Martins de Loiola Costa, George Cavalcante Dantas, Fabrício André Martins da Costa, Aline Lobo Ramos

bjcr123

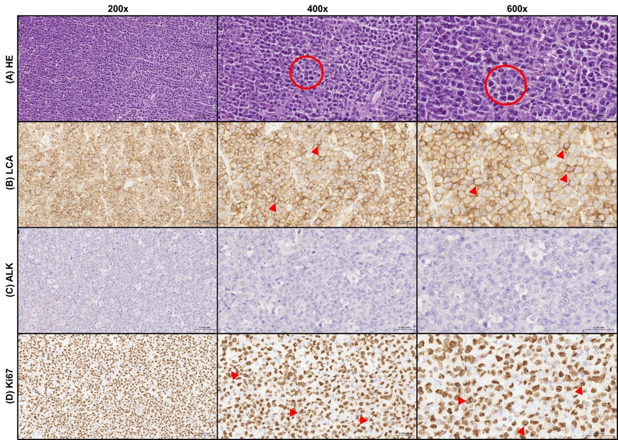
Linfoma anaplásico de grandes células, ALK-negativo: um caso raro com características histopatológicas e imuno-histoquímicas

Bilal Ramez Bakri, Camila Machado Baldavira, William Marques Pirani, Alexandre Ab’Saber, Vera Luiza Capelozzi

bjcr124

Reações Adversas Multissistêmicas ao Anlodipino Simulando Vasculite

Sudipto Chakraborty, Debroop Sengupta, Mohidur Rahaman, Pradip Dey, Saibal Moitra, Dhiman Sen

bjcr127

Manejo Fisioterapêutico Após Neurólise Cirúrgica por Lesão do Nervo Fibular: Relato de Caso

Pedro Sérgio Costa da Silva Almeida, Ana Maria Conceição Tomé, João Carlos Martins Felício, Ana Paula de Almeida Fontes

bjcr128

Actinomicose Periapical da Mandíbula em Paciente Diabético: Relato de Caso Abrangente e Revisão da Literatura

Camila Lopes Rocha, Fawaz Alotaibi, David Kim, Laura Earnest, Emily Neeley, João Octávio Pompeu Hyppolito

bjcr129

Sarcoma Sinovial Monofásico Paravertebral Lombar em Paciente Adulta: Relato de Caso

Bruno Amaral Santos, Beatriz Segatto de Oliveira, Paulo Eduardo Hernandes Antunes, João Guilherme Carvalho de Oliveira Santos, Eloy Theodoro José do Prado, Felipe Hammoud de Menezes, Ellen Diniz de Menezes

bjcr131

Fístula Colecistocutânea Espontânea: Relato de Caso

Pâmela de Oliveira Gonçalves Rodrigues, Gustavo Ianzer Moraes, João Pedro Valladao de Paula, Amanda Araújo Brasil Duarte, Isadora Mylius, Filipe Gianecchini Rodrigues

bjcr132

Tratamento com Radioiodo e o Desenvolvimento de Mixedema Pretibial: Uma Série de Três Casos

Nicolas Perini, Camila Guidi Rossi, Gabriela Salles Martinez, Yedda Carolina Della Torre Rojas, Roberto Bernardo Santos, João Hamilton Romaldini, Danilo Villagelin

bjcr133

Lesões Orais como o Primeiro Sinal Clínico de Paracoccidioidomicose Multifocal: Relato de Caso

Paulo Sérgio Pina, Antônio Roberto Garcia Júnior, Rafael Antônio Souza da Silva, Wallena Albuquerque da Cunha, Décio Santos Pinto Júnior, Celso Augusto Lemos Júnior, Camilla Vieira Esteves

bjcr136

Epstein-Barr Virus e COVID-19 Induzindo Síndrome da Res-posta Inflamatória Sistêmica e Síndrome de Guillain-Barré – Um Relato de Caso Inédito

Sudipto Chakraborty, Mohidur Rahaman, Pradip Dey, Siktha Purkait, Swagatam Sengupta, Anweshan Mandal, Sanjay Bhaumik, Suresh Ramasubban

bjcr140

Hipoglicemia Hiperinsulinêmica Grave e Recorrente Associada à Quetiapina em um Paciente com Esquizofrenia: Relato de Caso

Inês Grenha, Mariana Maia Marques, Soraia Rodrigues, Leonor Lopes, Juliana Lima Freixo, Mercedes Alvarez

bjcr141

Abscesso Retrofaríngeo: Relato de Caso

Mahomed Sidique Abdul Cadar Dadá, Abdul Habib Mahomed Dadá, Zulaikhah Mahomed Sidique Dadá, Jorge Miranda Rodrigues

bjcr142

Paracoccidioidomicose Disseminada com Acometimento Osteoarticular e Pulmonar Miliar: Relato de Caso

Pedro Heleno Valente Ribeiro, Fabrícia Fonseca Simil, Leonardo Meira de Faria

bjcr144

Comprometimento Tireoidiano Unilateral na Doença de Graves: uma Apresentação Rara da Doença de Graves

Nicolas Perini, Letícia Santana de Castro César, Maria Fernanda Maciel, Roberto Bernardo Santos, Danilo Villagelin

bjcr145

Peutz-Jeghers Syndrome Complicated by Intestinal Intussusception: A Case Report

Bárbara Helena dos Santos Neves, Fernanda Nascimento Rosa, Gabriele Mathias, Akihito Inca Atahualpa Urdiales

bjcr146

Tromboembolismo Pulmonar Após Artroplastia Total do Joelho de Revisão: Relato de Dois Casos

António Serrano, João Jesus Silva, Nuno Silva, Afonso Nave, Sara Raposo, Hugo Ribeiro, Joaquim Rodeia, Luís Sobral

bjcr147

Hidrocefalia por Neurocisticercose em Aqueduto Cerebral: Relato de Caso

Felipe Meireles Dória, Lívia Novaes Teixeira, Matheus Costa Freitas, Isabella Versiani Martins Rocha, Raquel Cordeiro Mendes, Bárbara Bastelli

bjcr148

Teratoma Sacrococcígeo em Adulto: Relato de Caso e Revisão Sistemática da Literatura

Luan Souza Gomes, Higino Felipe Figueiredo, Cássia Gabriela Assunção Moraes, Daniel Lourenço Lira

bjcr150

Síndrome de Bainbridge-Ropers em uma Criança Brasileira Associada a Sistema Pielocalicial Duplicado: Relato de Caso

Letícia Ferreira Beserra, Guilherme Aresi da Silva, Sarah Cavalcanti Guedes, João Guilherme Bezerra Alves

bjcr152

Carcinoma Mucinoso de Mama Triplo Negativo: Relato de Caso

Ana Beatriz Bisol Duizith, Ana Carolina da Costa Corrêa, Eloísa Talamini Assef, João Gabriel Vicentini Karvat, João Henrique e Silva Costa, Marina Guimarães Gunther, Maria Cristina Figueroa Magalhães

bjcr154

Encefalite por Varicela Zoster em Viajante Imunocompetente

Erika Yuki Mogami Bomfim, Bárbara Lopes da Silva, Carina Ferlin Saccomani Vilas Boas, Aimee Elizabeth Correa Alves de Mattos, Bárbara Redondo Shinoda, Ana Paula Rocha Veiga, Alexandre Ely Campeas

bjcr155

Feohifomicose Subcutânea em Paciente com Comorbidades Metabólicas: Um Alerta Diagnóstico Raro em um Contexto de Poucos Recursos

Inggryd Eduarda Possidônio de Souza Santos, Guilherme Alencar de Medeiros, Patrícia Cristina Ribeiro Conceição, Daniel Wagner de Castro Lima Santos, Conceição de Maria Pedrozo e Silva de Azevedo

bjcr157

Transporte Transversal do Córtex Tibial no Tratamento da Doença de Kawasaki

Alexandre Sacchetti Bezerra, João Kleber de Almeida Gentile, Fábio Lucas Rodrigues, João Antônio Corrêa, André Luiz Pereira Fornitano, Natália Rebeque Modolo, Fernando Luvizotto Carvalho, Cláudio Jun Shimizu

bjcr158

Diagnóstico Multimodal da Compressão da Medula Espinhal Cervical em um Cão: O Papel dos Métodos de Imagem Acessíveis na Tomada de Decisão Clínica Complexa

Paulo Ramos da Silva Santos, Laura Formighieri de Noronha, Mariana de Oliveira Barbosa, Luana Canavessi, Radan Elvis Matias de Oliveira, Laura Ayala Lazarotto, Mariana Moratelli, Flávio Shigueru Jojima

bjcr159

Reparo Endovascular de Pseudoaneurisma Braquiocefálico

Eliana Suárez, Viviana Griego, Alejandro Russo, Santiago González

bjcr138

Colagenose Reativa Perfurante: Uma Manifestação Cutânea Rara de Doenças Sistêmicas

Carolina Cardoso, Pedro Dias dos Santos, David Furtado, Tiago Alves

bjcr151